Kieferregulierung bei Erwachsenen – Es ist nie zu spät

Immer mehr Erwachsene entscheiden sich für eine Kieferregulierung, denn für gesunde Zähne und einen optimalen Biss ist es fast nie zu spät. Besonders vor Zahnsanierungen wie Brücken oder Implantaten empfehlen wir eine kieferorthopädische Abklärung, um sicherzustellen, dass der Biss und die Funktion korrekt sind. So lassen sich Beschwerden vermeiden.

Behandlung von Beschwerden

Viele Erwachsene leiden unter einer beeinträchtigten Funktion ihres Kausystems, was oft zu den oben genannten Beschwerden führt. In solchen Fällen sind Aufbiss-Schienen eine bewährte Lösung, um das Kausystem zu entlasten.
Für eine Zahnkorrektur wenden wir in unserer Praxis in Bregenz moderne und unauffällige Behandlungsmethoden an, die sich auch ideal in den Alltag integrieren lassen. Dazu gehören durchsichtige Brackets, abnehmbare Zahnspangen oder auch Aligners.

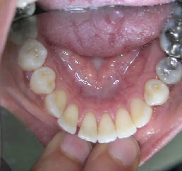
Patientenfall

Unsere Patientenfälle bieten spannende Einblicke in die vielseitigen Herausforderungen und Erfolge der Erwachsenenbehandlung. Entdecken Sie, wie wir individuelle Lösungen für komplexe zahnmedizinische Anliegen finden – stets mit einem ganzheitlichen Ansatz für nachhaltige Gesundheit.

Patientin (42 Jahre) mit Engstand, Schmalkiefer, Fontaler Kant- und Kreuzbiss

Rechte Seite

Oberkieferzahnbogen

Unterkieferzahnbogen

Begleitbehandlungen:

  • Physiotherapeutische und osteopathische, sophrologische Übungen
  • Mundakupunktur