Zahnregulierung bei Kindern

Zahnregulierungen sind bei Kindern heute weit verbreitet und sind für die Zahngesundheit und Ästhetik wichtig. Es gibt verschiedene kieferorthopädische Maßnahmen wie Trainingsgeräte, abnehmbare Zahnspangen (Bionator etc.) und festsitzende, selbst ligierende Bracketsysteme (DAMON). Zahnfehlstellungen können durch vererbte Anlagen, Traumen und durch Gewohnheiten wie unnatürliches Schlucken, falsche Atmung oder schlechte Körperhaltung.
Häufige Ursachen bei Kleinkindern sind Daumenlutschen oder das Saugen an Lippen und Wangen oder andere Habbits.

Früherkennung und -behandlung

Sichtbare Zahnfehlstellungen treten vor allem in der ersten Wechselgebiss-Phase im Alter von etwa sechs Jahren zutage. Im Idealfall wird deshalb bereits der erste Zahnwechsel von einem ganzheitlichen Zahnmediziner begleitet. Schon beim Durchbruch der Schneidezähne ist es wichtig, dass die Zähne Platz finden und sich in einem bestimmten Winkel berühren, um eine optimale Kiefer-, Profil- und Gesichtsentwicklung beim Wachstum zu ermöglichen. 

Interdisziplinärer Ansatz für nachhaltige Ergebnisse

Wir sind überzeugt, dass eine interdisziplinäre Zusammenarbeit die besten Behandlungsergebnisse erzielt. In unserer Praxis kombinieren wir verschiedene Regulationstherapien wie Atem- und Entspannungsübungen, Mundakupunktur, Lymphtherapien, manuelle Medizin und Sophrologie.

Unser Ziel ist es, Patienten zur Mitarbeit zu motivieren.

Aufklärungsvideo

Funktionelle Behandlungsmethoden

Die ganzheitliche kieferorthopädische Behandlung optimiert Form und Funktion um eine optimale Biss-, Kiefer-, Profil- und Gesichtsentwicklung zu ermöglichen. Operative Eingriffe und das Entfernen gesunder Zähne, um Platz zu schaffen, können oft vermieden werden. Unterstützend kommen auch Begleittherapien wie Lymphdrainagen, logopädische Muskelfunktionsübungen, Sophrologie und Mundakupunktur zum Einsatz um eine optimale Bisslage und Körperhaltung zu erzielen. 

Zum Kontakt

"Gratis-Zahnspange" jetzt auch in unserer Praxis möglich

Wir freuen uns, Ihnen mitteilen zu können, dass in unserer Praxis auch die Möglichkeit einer „Gratis-Zahnspange“ besteht.  Die Einstufung erfolgt nach den Schwierigkeitsgraden IOTN 1-5. Bei Kindern und Jugendlichen im Alter von 12 bis 18 Jahren mit IOTN Stufe 4-5 übernimmt die Krankenkasse 80% des vertraglich festgelegten Wahlkieferorthopädentarifs. Für detaillierte Informationen laden wir Sie zu einem Beratungstermin ein.

Patientenfall

Kinder verdienen besondere Aufmerksamkeit in der Zahnmedizin. Unsere Patientenfälle zeigen, wie wir mit Einfühlungsvermögen und modernen Ansätzen Zahnprobleme lösen und eine gesunde Zahnentwicklung fördern – für ein strahlendes Lächeln von klein auf.

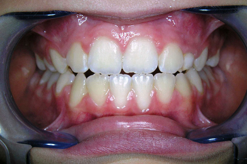
Patientin (7 Jahre) mit offenem Biss, myofunktionelle Behandlung vor festsitzender Korrektur

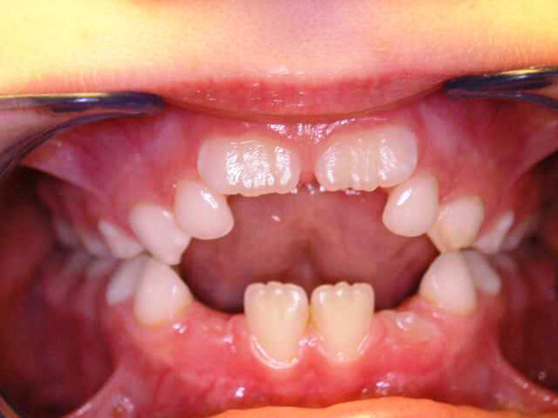
Nach 1 weiteren Jahr EOA – vor festsitzender Behandlung

Festsitzende Behandlung

Nach Abschluss der Kieferorthopädischen Behandlung